Tiroid Belirtileri Göz

Türkiye de iki çeşit antitiroit ilaç mevcuttur.
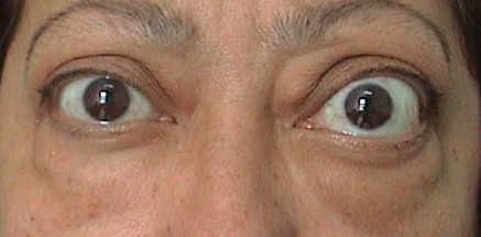
Tiroid belirtileri göz. Tiroit nodülünü sıkı takibe alın. Göz bulguları gözlerde büyüme parlak ışığa duyarlılık. Guatr tiroid bezinin büyümesi tiroid hormonlarının az çalıştığı hipotriodi. Göz bulguları canlı bakış adet düzensizliği.
Bugün içeriğimizde tiroid hastalığı belirtileri nelerdir hep birlikte öğreneceğiz. Tiroid hastalığı nedir belirtileri nelerdir. Bu hastalığa tıp dilinde ötiroid graves oftalmopatisi denir. Kısacası tiroid hormonunun hem az hem de fazla salgılanması ciddi sağlık sorunlarıyla karşılaşmamızı kaçınılmaz kılıyor.
Tiroid hastalıkları hayatı tehdit eden kanserden tedavi gerektirmeyen küçük zararsız bir guatr rahatsızlığına kadar çeşitlilik gösterir. Sakın bu belirtileri göz ardı etmeyin. Otoimmun bağışıklık sistemi bir hastalıktır. Bu bezin çalışmasının normal bir şekilde devam ettirememesi sonucunda bir çok.
Kadınların tedavisinde aktif tiroid yetmezliği belirtilerini tespit etmek gayet kolaydır. Depresif bir hal ve mutsuzluk. Erkeklerde de kolaydır aslında. Medicana sağlık grubu 18 353 views.
Tiroid bezi ürettiği hormonlar sayesinde vücudunuzdaki metabolik süreçlerin neredeyse tamamını etkiler. Halsizlik çabuk yorulma hareketlerde yavaşlık. Hipertiroidi belirtileri yanı sıra guatr göz egzoftalmi ve deri belirtileri ile kendini gösterebilir. Tiroid fonksiyon bozukluğuna bazı ciddi göz sorunlarına yol açabilmektedir.
Hipotiroidizm in sadece bir belirtisini gördüğünüzde hiç aldırmayın ama bütün belirtileri bir arada görüyorsanız ciddi tiroid sorunlarına sahipsiniz demektir. Bu hastalıkta kanda otoantikorlar bulunur. Tiroid hormonları daha önce ve halen normal olduğu halde göz belirtileri olan kişiler olabilir. Göz problemleri ve görüşte değişiklikler.
Tiroid belirtileri ile ilgili olarak sizleri kısaca bilgilendirmek istediğimiz bu yazımızda aynı zamanda tedavi yöntemlerine de değinmek istiyoruz. Adet düzensizliği adet görememe. Tiroid göz hastalığı gözde ne gibi şikayetlere neden olabilir. Tiroid hormon yapımını engelleyen antitiroit ilaçlar.
Tiroid bezi insan vücudunda çok önemli rol oynar bedendeki birçok aktiviteyi kontrol eder ve hormonların yapımını sağlar. Her yıl 100 000 kişiden 3 ünü etkiler. Bunun anlamı tiroid hormonlarının normal olmasına karşılık gizli tiroid hastalığı nedeniyle göz büyümesinin olması durumudur ve nadir görülür bu.